西新井本町歯科医院

ホームへ
ドクター紹介
医院紹介
診療科目
治療例の紹介
治療例の紹介
口腔外科(インプラント)

歯はたった1本失うだけで、歯が本来持つ機能と審美性が崩れ、食事の時や外見上で不都合を感じるようになってしまうことがあります。その際、できるだけ簡単で目立たない方法で失った部分を修復できるのが"インプラント治療"です。

治療前

治療後

インプラント(歯科用インプラント)とは天然歯根の代用となる人工歯根のことです。
インプラント本体は外科手術により、顎の骨に埋め込みます。

埋め込まれたインプラントは、平均6〜12週間の治癒期間を経て骨にしっかりと結合します。 この期間ITIインプラント1の場合はインプラントの頭を歯ぐきの外に出した状態ですので、他のインプ ラントを使用した場合のようなインプラントを出すための2回目※2の手術をする必要がありません。

※1 International Team for Implantology
※2 患者さんの状態によっては、ITIインプラントも手術2回法を選択する場合もあります。また、インプラント手術の前に骨を形成する為の手術が必要となる場合もあります。

■インプラントのイメージ図

審美歯科

審美歯科は、歯の色や形などの審美性を高める治療です。

色について

1. 生まれつき、歯が黄色、茶色である。
2. 年齢とともに、歯が黄色になった。
3. 歯の色が悪いので人前でおもいきり笑えない。
4. 白い歯にしたいけど、痛いのはいやだ。
5. 仕事上、人の前で話をしなくてはならない。
6. 銀歯や、金歯など金属のかぶせものが目立つ。
7. その他、いろいろな変色歯。

形について

1.生まれつき歯の大きさが不揃い。
2.成人になっても一部の歯が乳歯のまま。
3.歯の生え方が不揃い。
4.一部の歯が欠けている。
5.歯と歯の間のスキマが気になる。
6.その他、歯の形が気になる。

■歯のホワイトニングについて(歯の色を白く漂白します)(保険外治療)■

1.漂白剤を使用し歯を削らずに、透明感のある白い歯にする方法。
2.歯や歯ぐきの状態をチェックし、悪いところがあれば先に治療します。
3.歯の変色の度合いや希望の白さの度合いによって、白くする方法や期間が変わりますので担当医にご相談下さい。

※歯の漂白剤は、飲み込んでも体に害のあるものではありません。

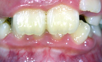
治療前

治療後

矯正歯科

自分の歯の表面をごく薄く削り、その部分に歯の色をしたネイルチップのような薄い歯を貼り付けます。

治療前

治療後

矯正歯科では歯並びの不正を治し、見た目をきれいに整えるという治療の他にも、咀嚼器官(歯を中心とした"噛む動作"に関わる器官)の機能回復、かみ合わせをよくする、正しい発声(発音)ができるようにする治療が含まれます。

■治療期間について■

患者さんの口内の状態、治療方針に応じて治療にかかる期間は変わってきます。(一般的にはお子さんの場合で半年 〜2、3年、永久歯列になると1〜3年ぐらいの治療期間が必要となります。) ご相談をお受けする際、必ず必要な期間、治療にかかる費用についてご説明をいたしておりますので、まずはお気軽に相談ください。

※カウンセリングにつきましては、予約制で無料となっております。

子供の歯(矯正前)

子供の歯(矯正後)

大人の歯(矯正前)

大人の歯(矯正後)

■矯正器具について 〜見た目が気になる方へ〜■

治療期間中に装着する矯正装置の見た目が気になる方には、裏側から治療する方法もあります。また患者さんのご希望に応じて、各種カラーもご用意しております。

■対象年齢について■

矯正治療において、特に年齢制限はありません。 歯根、歯槽骨(歯を支えている骨)、歯肉が健康な場合なら、何歳でも矯正治療を受けることができます。
お口、歯についてのご相談・お問い合わせはお気軽にどうぞ

西新井本町歯科医院

・診療科目:|一般歯科口腔外科(インプラント)歯周病審美歯科矯正歯科小児歯科

・診療時間:平日・土曜 AM9:30 〜 PM0:30 / PM2:00 〜 PM8:00
           日曜 AM9:30 〜 PM1:00

・休診日:祝祭日

・住所:〒123-0845/東京都足立区西新井本町1-13-10 東武サンバザール西新井C棟1F
 目印:東武ストア裏

・TEL:03-3898-6351

・カードご利用可能:JCB/VISA/MASTER/DinersClub/AMEX/DC/UC

Copyright©2005 NISIARAI HONTYOU Dental clinic, All rights reserved.